자궁근종은 가임기 여성에게 흔히 발견되는 양성 종양으로, 위치와 크기에 따라 다양한 불편을 초래합니다. 저는 정기 건강검진에서 자궁근종을 처음 알게 되었고, 이후 생활습관을 조절하며 증상 변화를 세심히 관찰했습니다. 아래 글은 자궁근종 증상, 원인, 검사, 치료, 예방까지 한 번에 정리한 안내문입니다.

자궁근종이란?
자궁근종은 자궁 근육층에 발생하는 양성 종양으로, 모양과 크기가 다양합니다. 완두콩 크기에서부터 임신 자궁처럼 커지는 경우까지 있습니다. 주로 가임기 여성에게 많이 생기며, 여성호르몬의 영향을 받아 성장합니다. 대부분 특별한 증상이 없지만, 자궁근종 증상이 나타날 경우 생활 전반에 영향을 줄 수 있습니다. 저 역시 무증상 상태에서 발견되어, 이후 정기 검진과 생활습관 관리를 병행하게 되었습니다.






자궁근종 증상 6가지
자궁내막증 증상
자궁내막증은 자궁 안쪽의 내막 조직이 난소나 복강 등 자궁 밖에서 자라 통증과 염증, 유착을 유발하는 질환입니다. 저는 출산 후 심해진 생리통 때문에 진료를 받으며 생활 루틴과 치료를 조
go2.mimilee-7.com
1. 월경 과다 – 평소보다 출혈량이 많아지고 기간이 길어져 빈혈, 피로, 어지럼증이 생길 수 있습니다.
2. 하복부 통증 – 생리 전후, 배란기, 혹은 평상시에도 묵직하거나 찌르는 듯한 통증이 있습니다.
3. 배뇨 이상 – 방광을 압박해 소변을 자주 보거나 급뇨, 잔뇨감이 나타납니다.
4. 변비 – 직장을 눌러 배변이 힘들어지고 배가 더부룩해집니다.
5. 허리 통증 – 골반 압박이 요통과 둔부 통증으로 이어질 수 있습니다.
6. 난임 – 수정란 착상에 영향을 주어 임신이 어려워질 수 있습니다.
이러한 자궁근종 증상은 근종의 위치·크기·개수에 따라 다르며, 같은 크기라도 개인에 따라 불편 정도가 크게 다릅니다.






자궁근종 원인
정확한 원인은 아직 규명되지 않았지만, 여성호르몬(에스트로겐·프로게스테론)과 유전적 요인이 주요 원인으로 알려져 있습니다. 30~40대, 임신 경험이 적은 여성, 비만, 고지방 식단, 스트레스, 수면 부족 등이 위험 요인입니다. 특히 가족 중 자궁근종 병력이 있으면 조기부터 자궁근종 증상에 관심을 갖고 관찰하는 것이 좋습니다.






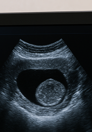
자궁근종 검사와 진단
다낭성 난소증후군
주기가 들쭉날쭉해지고 체중이 쉽게 불어나며 피부 트러블까지 늘어날 때 처음엔 스트레스 탓을 했지만, 기록을 시작하니 패턴이 보였습니다. 저는 배란 테스트기와 식단 일지를 병행하며 상태
go2.mimilee-7.com
가장 기본적인 검사는 골반 초음파입니다. 복부 또는 질 초음파로 근종의 위치, 크기, 개수를 확인합니다. 필요시 MRI로 더 세밀하게 구조를 파악하며, 출혈이나 생리 이상이 심하면 자궁내시경을 통해 점막 상태를 직접 확인합니다. 자궁근종 증상이 경미하더라도 주기적으로 검사해야 크기 변화를 조기에 파악할 수 있습니다.






자궁근종 치료 방법
과민성 대장증후군 증상 6가지, 예방관리법
아침마다 배가 뒤틀리듯 아프고 화장실을 들락거리지만 검사에서는 특별한 이상이 없다고 들은 적이 있나요? 직장 초년생 때 저는 회의 전 긴장하거나 공복에 진한 커피를 마신 날, 가스와 복통
go2.mimilee-7.com
치료 여부는 증상 정도, 크기, 임신 계획에 따라 결정됩니다. 무증상이며 크기 변화가 거의 없는 경우 관찰만 합니다. 증상이 있으면 호르몬 조절제, 경구 피임약 등 약물치료를 우선 시도하고, 효과가 없거나 근종이 큰 경우 근종절제술, 자궁적출술을 시행합니다. 최근에는 자궁동맥 색전술, 고강도 집속 초음파(HIFU) 등 비수술적 치료법도 도입되어 회복 기간이 짧습니다.






자궁근종 치료 시 주의사항
고지혈증에 좋은 음식
콜레스테롤 수치가 높아졌다는 통보를 받고 나면 식탁 위 재료부터 바꿔야 합니다. 저는 사무실 간식 대신 생견과·삶은 콩을 챙기며 세 달 만에 LDL 수치를 40 mg/dL 낮춘 경험이 있어요. 이 글은
go2.mimilee-7.com
수술 전후로 충분한 휴식과 영양 관리가 필요합니다. 약물치료 시에는 호르몬 변화로 인한 부작용(체중 증가, 안면홍조, 기분 변화 등)을 주기적으로 확인해야 합니다. 또한 치료 후에도 자궁근종 증상이 재발할 수 있으므로, 6개월~1년마다 정기검진을 받는 것이 안전합니다. 무리한 운동이나 체중 급증은 회복에 좋지 않으니 주의해야 합니다.






자궁근종 예방 관리
당뇨수치 기준 한방정리
퇴근 후 귀가하면 설거지보다 먼저 혈당 측정기를 꺼내는 것이 습관이 되었습니다. 불규칙한 야근과 회식으로 수치가 출렁일 때마다 식단·운동·수면을 조정하며 기록했고, 결국 세 달 만에 공
go2.mimilee-7.com
예방을 위해서는 적정 체중 유지, 규칙적인 운동, 균형 잡힌 식단이 중요합니다. 채소·과일·통곡물 섭취를 늘리고, 가공식품·포화지방 섭취를 줄입니다. 스트레스 완화, 충분한 수면도 호르몬 균형에 도움이 됩니다. 특히 가족력이 있는 경우 1년에 한 번 이상 산부인과 검진을 통해 자궁근종 증상을 조기 발견하는 것이 좋습니다.






자주 묻는 질문 5가지
1. 자궁근종이 암으로 변하나요? – 대부분 양성이며 악성 변화는 드뭅니다.
2. 임신 중 발견되면 어떻게 하나요? – 크기와 위치에 따라 경과 관찰 또는 조기 치료를 결정합니다.
3. 폐경 후에도 생기나요? – 드물지만 가능하며, 대개 폐경 후에는 크기가 줄어듭니다.
4. 자궁근종 증상이 없으면 치료 안 해도 되나요? – 무증상이고 크기 변화가 없으면 관찰만 해도 됩니다.
5. 식습관이 영향을 주나요? – 고지방·고칼로리 식단은 위험을 높이고, 채식 위주의 식단은 예방에 도움을 줍니다.





